Cosmetic dentistry
is any dental procedures that address patient’s aesthetic concern. This includes anterior filling to veneer/crown to full mouth rehabilitation or combination of different techniques.
6 front veneers
14 crowns and veneers
implant crown (L) + veneer (R)
composite veneer
implant crown (L) + veneer (R)
6 upper front crowns
veneer (L) + implant crown (R)
4 veneers
before + after
gummy smile rehab w. surgery & veneers
6 defective veneers replaced
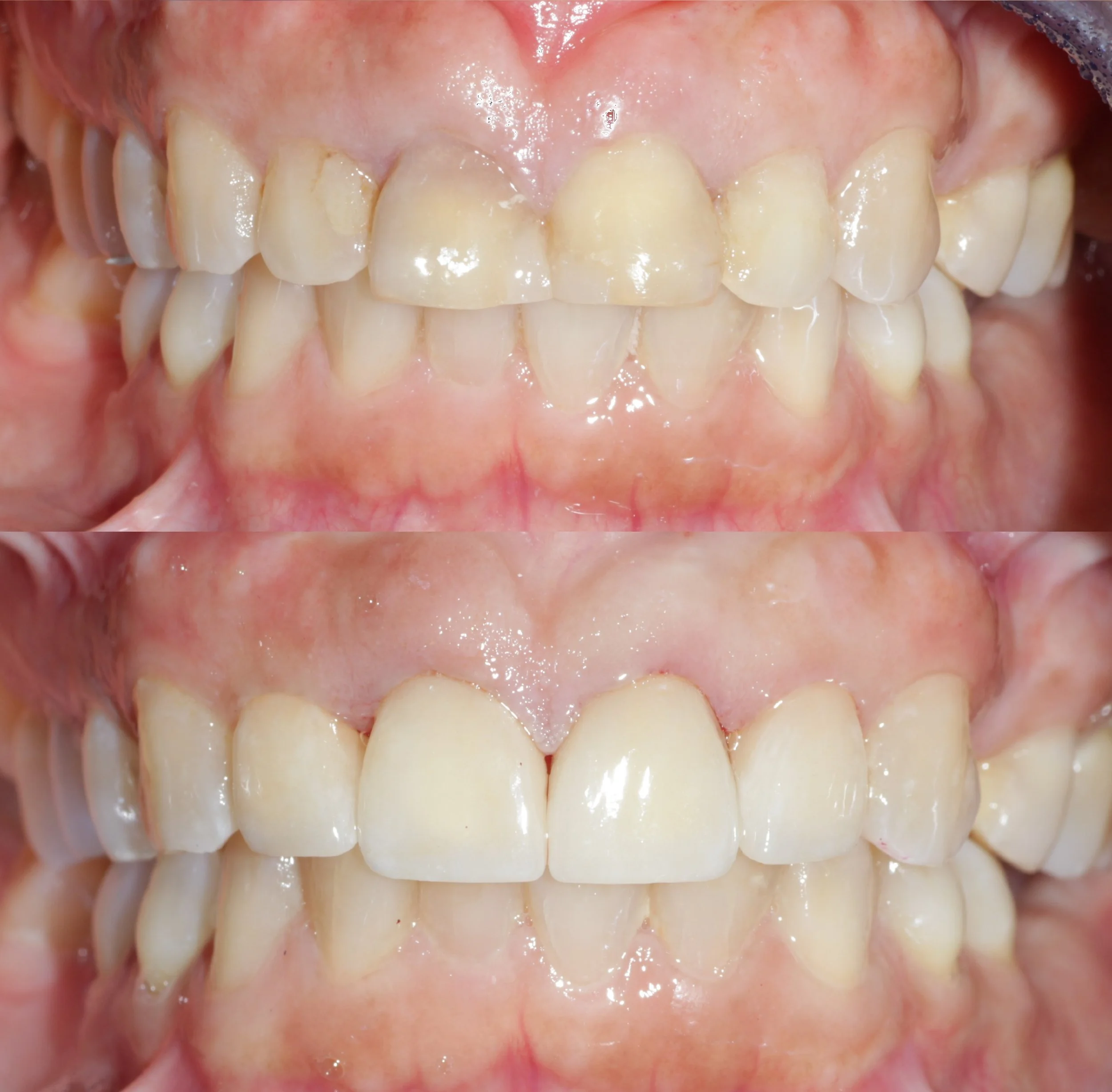
Front 4 crowns